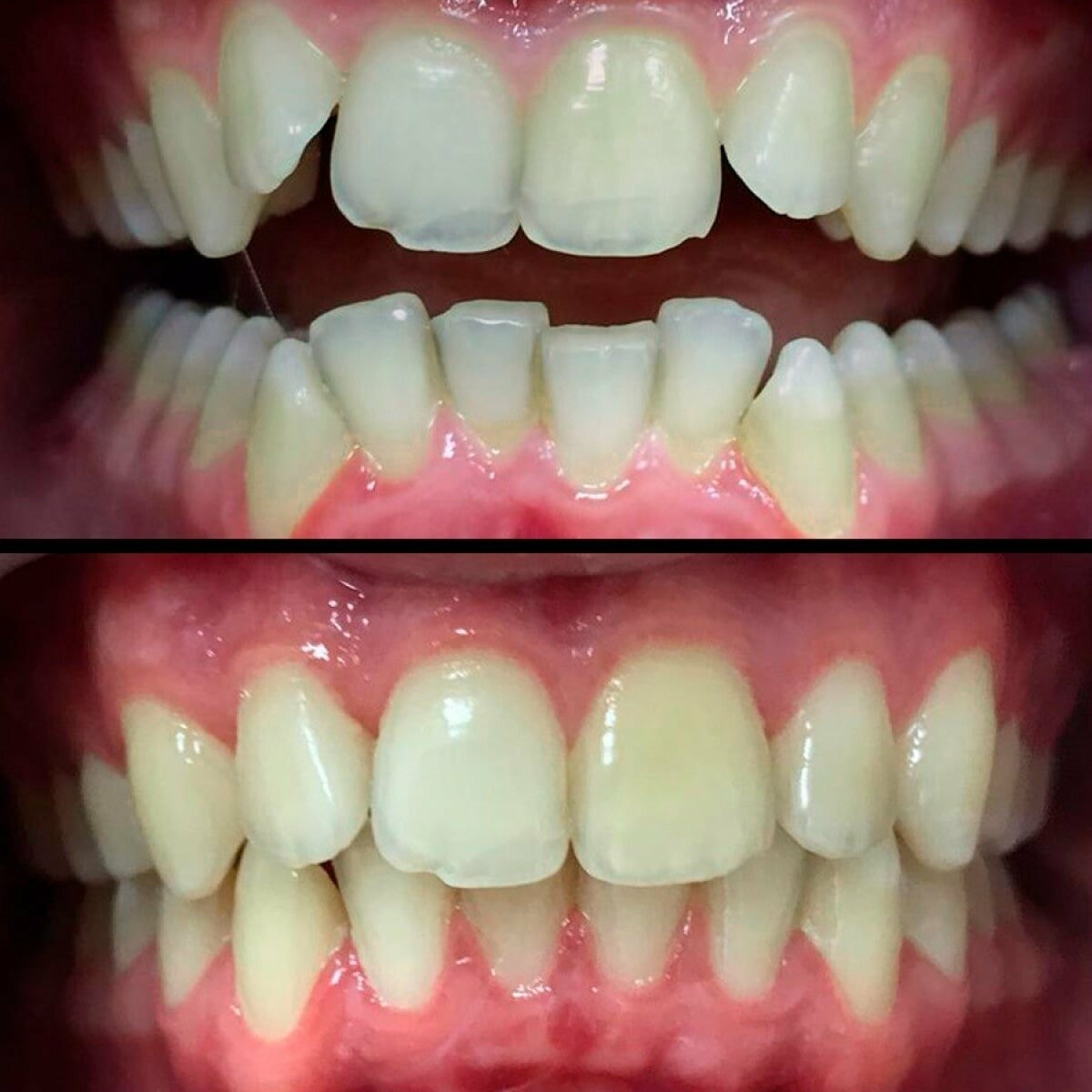
Багато хто мріє про рівні зуби та бездоганну усмішку, але губиться у виборі ортодонтичних систем. Лігатурні брекети залишаються перевіреною часом класикою, яка дає змогу досягти відмінних результатів при виправленні навіть найскладніших випадків неправильного прикусу. Це ефективний інструмент, що поєднує фінансову доступність та високу ефективність контролю за переміщенням зубів.

Все, що потрібно знати про лігатурні брекети
Лігатурні брекети в Рівному – це ортодонтична система, в якій дуга фіксується у пазах брекетів за допомогою спеціальних елементів – лігатур. Вони можуть бути виготовлені з еластичного матеріалу (кольорові або прозорі гумові кільця) або тонкого металевого дроту. Саме завдяки жорсткій фіксації лікар-ортодонт має можливість дуже точно керувати процесом вирівнювання зубного ряду на кожному етапі терапії. Попри появу сучасних самолігуючих систем, класичні брекети не втрачають актуальності та популярності.
Основні переваги, які роблять їх найкращим вибором для багатьох пацієнтів:
- Ефективний контроль. Жорстка фіксація дуги дозволяє ортодонту точно спрямовувати зуби у потрібну позицію.
- Різноманіття матеріалів. Ви можете обрати металеві, керамічні або сапфірові варіанти, поєднавши функціональність з естетикою.
- Естетичність. Використання яскравих еластичних лігатур перетворює брекети на стильний аксесуар, що особливо подобається дітям та підліткам.
- Доступна вартість. Класична технологія є вигіднішою, якщо порівнювати з інноваційними системами при збереженні високої якості кінцевого результату.
- Надійність. Система доведена десятиліттями клінічної практики, тому прогноз лікування є доволі точним і зрозумілим.
Основним нюансом є необхідність регулярних візитів до клініки для заміни лігатур, бо еластичні кільця з часом розтягуються та втрачають свої властивості. Проте саме планові візити дозволяють ортодонту вчасно корегувати силу тиску на зуби.

Де встановлюють брекети в Рівному?
Якщо ви шукаєте професійний підхід до здоров’я вашої усмішки, стоматологія Рівне др. Ничипорчука – це саме те місце, де ваші мрії стають реальністю. 13 років практики та велика довіра клієнтів допомогли об’єднати багаторічний досвід, найсучасніші технології та команду лікарів-стоматологів в одному стоматологічному центрі. Це команда професіоналів, об’єднана спільними цінностями – щирою турботою про здоров’я та естетику. У клініці практикується комплексний підхід до діагностики та лікування, що дозволяє вирішувати навіть найскладніші клінічні випадки.

